- 发布人:A_dmin789
- 时间:2021-11-24
- 点击:3530
- 来源:
心外科医生的“第三只眼睛”——经食道超声心动图
秋高气爽,丹桂飘香,在这个收获的季节我院成功为3名先天性心脏病儿童分别实施了体外循环下心内直视室间隔缺损修补术、微创经胸室间隔缺损封堵术和动脉导管未闭外科结扎术。其中室间隔修补患儿在术前进行了经食道超声心动图(Transesophageal Echocardiography,TEE)检查,弥补经胸超声心动图检查的不足,为手术医生提供准确的患者信息,对手术方案的制定提供有力依据。另一例经胸室间隔缺损封堵术,我院超声科医师周文娟、宗浩在复旦大学附属儿科医院心脏超声科张璟博士的带领、指导下应用经食道超声心动图进行全程跟踪指引鞘管进入方向,保证伞盘、封堵器放置在最合适的位置,为封堵手术保驾护航。

食道超声心动图检查前准备
经食道超声心动图(TEE)是将超声探头置于食管内,经食道从心脏后方探查其结构,可避免胸壁、肺气等因素的干扰,可获得高质量的图像(图1),提高对心血管疾病诊断的敏感性和可靠性。

一、经食道超声心动图的适应症有:
1.经胸超声心动图(Transthoracic Ehocardiography TTE)检查透声条件差:如肥胖、肺气肿、胸廓畸形等。
2.TTE难以显示的部位:如左心耳、上腔静脉、肺静脉、胸降主动脉。
3.TTE检查获得信息有限的病种:如房间隔近下腔静脉处以及左、右冠状动脉主干的显示,TEE优于TTE。
4.进行心脏手术术中超声监测:
(1)包括在麻醉后手术前的所谓“术前诊断”。
(2)术中监测:TEE最早引入手术室就是用于监测左室整体功能和节段性室壁运动。后来也可应用于心内直视手术后排气,心内直视手术心腔内可能残留过多的气体,进而导致脑血管、肺血管或冠状动脉的气体栓塞。术中TEE可以监测气体是否完全排空,也可以对残留气体进行定位,有助于术者完全抽出气体。术中TEE在血管穿刺,尤其是颈外静脉穿刺方面能帮助麻醉医师准确显示穿刺导丝是否进入上腔静脉或右房。在放置飘浮导管和主动脉内球囊反搏导管时也具有准确定位作用。
(3)手术效果即刻评价:即刻评价各种心血管手术的效果是术中TEE最主要的价值之一。例如在先天性心脏病房、室间隔缺损修补术后,心脏复跳后即刻检查有无残余分流,及早发现手术缺陷并及时进行纠治,避免二次开胸手术带来的诸多问题,提高手术成功率。
5.在重症监护中的应用:对于急诊和监护病房的患者,TEE有助于尽早明确诊断,评价心功能和血流动力学状态,帮助制定诊疗决策。
二、禁忌症
1.绝对禁忌症:较少,包括:有咽喉和食道梗阻、活动性的上消化道出血、已知或可疑的内脏穿孔、颈椎不稳定。
2.相对禁忌症:(1)包括食道变异或可疑的食道憩室,严重颈关节炎,口咽部的病变,解剖上的变形,重症肌无力都可能增加检查难度。
(2)凝血功能异常的患儿:当国际标准比>5或部分凝血酶原时间>100秒时,血小板数量少于50,000/mm3时应延迟检查。
(3)食道感染,乙肝、梅毒、感染人类免疫缺陷病毒(HIV)患儿必须采取通用的预防措施(适用于所有病人),或使用一次性的探头保护鞘。
(4)年龄和体重限制:普通儿童经食道超声探头可用于年龄大于2月,体重大于4kg,目前最新的microTEE探头可用于新生儿,体重大于2kg。
三、并发症
1.经食道超声并发症少见,包括:
2.食管穿孔:是最严重的并发症;
3.食管粘膜损伤,出血;
4.食道热损伤;
5.吞咽困难、声带麻痹;
6.气道受压;
7.心律失常;
8.其他:心肌梗塞、休克等。
四、注意事项
1.严格掌握经食道超声心动图的禁忌症。
2.操作轻柔,输送食道探头时如遇阻力,应停止输送,回撤探头调整位置后再输送。
3.低年龄低体重患儿进行检查时,食道探头勿在食道中滞留过久,以免引起热损伤甚至穿孔。
五、器材
1.超声心动图机器(图2)
2.经食道超声探头(图3)
3.耦合剂
4.4.2%戊二醛消毒液和消毒器皿

Philips IE33 (图2) 食道探头(图3)
六、经食道超声心动图术中常用切面图
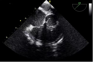
1.食道上段(图4):距门齿15cm-20cm,主动脉弓长轴观、主动脉弓短轴观等。

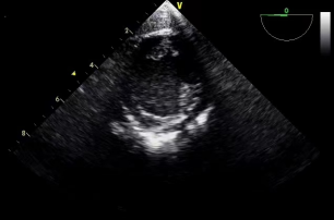
2.食道中段(图5):距门齿30cm-40cm,四腔观、五腔观、大动脉短轴观、左室长轴观、左室两腔心观、二尖瓣交界观、上下腔静脉观等。

食道中段四腔观和大动脉短轴观(图5)
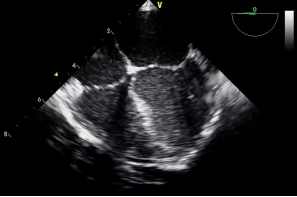
3.经胃底部(图6):距门齿50cm,左室乳头肌短轴观、二尖瓣短轴观、经胃底左室长轴观、经胃底右室流入道观等。

胃底 左室乳头肌短轴(图6)
经食道超声心动图(TEE),在大部分心脏手术中起到 “第三只眼睛”的作用,我院目前主要应用在心脏手术中的超声监测与手术效果的即刻评价。



